
9 зовнішніх змін тіла, які не варто ігнорувати
Необґрунтована помисливість може зіпсувати життя кому завгодно. Але що якщо на тлі якихось нешкідливих симптомів ви ігноруєте і більш серйозний, який вказує на певний недуга? Такі зміни варто знати, щоб вчасно помітити неладне та відвідати лікаря.
Ми в Social.org.ua вирішили розповісти, на які сигнали організму вже точно варто звернути пильну увагу.
Сухі і потріскані губи
Відходження сухої шкіри пластівцями — явна ознака алергії: в такому випадку вам варто придивитися до використовуваної косметики, засобів гігієни порожнини рота, споживаних продуктів і навіть до ліків. Заїди і тріщини саме в куточках рота говорять про дефіцит вітамінів B, A і Е. При сухості очей, порожнини рота і проблеми з травною системою варто відвідати лікаря, так як це може бути поєднанням симптомів, характерних для одного з аутоімунних захворювань — синдрому Шегрена.
Випадіння брів
Густі соболині брови — це не тільки сучасний тренд, але і один з індикаторів стану вашого здоров'я. Періодичне невелике відпадіння — це нормально. Але якщо ви помітили рясне випадання волосків, залисини і навіть майже повне їх зникнення, негайно зверніться до лікаря: це може бути пов'язано як з підвищеним, так і з недостатнім рівнем активності щитовидної залози.
Дистрофія нігтів на руках
Всі ми знаємо, як виглядають здорові нігті. Будь-яка зміна в їх кольорі і структурі є тривожним сигналом. Тонкі бліді нігті можуть бути ознакою анемії і нестачі заліза в організмі; пожовтіння вказує на негаразди з печінкою і шлунковим трактом або сигналізує про ураження грибком; білі плями і смуги — брак цинку, міді і йоду; надмірна ламкість проявляється через брак вітамінів, кальцію, заліза і бета-каротину.
Бліді губи з яскравим контуром
Різні варіації говорять про різних недугах. Якщо набрякає червона облямівка нижньої губи і до того ж з'являються дрібні бульбашки, найімовірніше, у вас підвищена чутливість до ультрафіолету: слід знизити вплив сонячного опромінення з допомогою сонцезахисної косметики. Порушена середня частина облямівки? Це вегетоневроз. Важливою частиною лікування, крім протизапальних мазей, стане прийом седативних препаратів. Сильна набряклість і почервоніння всього контуру вказують на алергічну реакцію: вам варто придивитися до своєї косметики і зубній пасті, а також відвідати алерголога.
Червоне обличчя
Якщо виключити природні фізіологічні зміни (зміна температури, масаж) або почервоніння на фоні вживання алкоголю, тобто 3 найпоширеніші причини: в жінок після 40 це обумовлено зниженням рівня гормонів і наближенням до менопаузи. Також червоне обличчя може вказувати на наявність інфекцій, що є причиною демодекозов. Часткове почервоніння укупі з раптовими нападами запаморочення може говорити про скачках тиску, налагодити рівень якого допоможуть спеціальні препарати.
Сухі п'яти
Шкіра на ногах сохне і грубіє з причини нестачі вітамінів А і Є. Також це може виявитися проявом грибкового захворювання, яке впливає на загальний стан епідермісу, що, як правило, також підтверджується численними тріщинами і пожовтінням нігтьових пластин. Якщо сухість і шорсткість не проходять навіть при правильному догляді і достатньому споживанні вітамінів, це може бути одним з ознак порушень в роботі ендокринної системи.
Суха шкіра рук і тіла
У холодну пору року суха шкіра є нормою, але в таких випадках ефективно використання крему, рясне споживання води і прийом вітамінів. Якщо ж у вашому випадку перераховані прийоми зовсім не допомагають, можливо, вам варто відвідати дерматолога, так як сухість шкіри також є одним з поширених ознак діабету і гіпотиреозу. Крім того, якщо шкіра не просто лущиться, але стягується і тріскається, це може виявитися дерматитом, що виникли із-за природної реакції шкіри на хімічну дію.
Деформація стопи
Зміщення згину стопи всередину і зміна форми стопи, що характеризується опущенням поздовжнього або поперечного склепіння, як правило, сигналізує про плоскостопості. Згідно зі статистикою, поперечна плоскостопість у поєднанні з іншими деформаціями зустрічається частіше, ніж поздовжній, йому особливо схильні жінки. Причина в тому, що при ходьбі на каблуках відбувається нерівномірний розподіл навантаження і більша її частина припадає як раз на область поперечного склепіння. Коли останній не витримує, з'являються неприємні больові і тягнучі відчуття, що означають початок деформації.
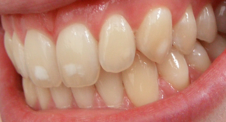
Білі плями на зубах
Флюороз — це хронічне захворювання, що розвивається ще до прорізування зубів, або після (при вживанні великої кількості води або продуктів з підвищеним вмістом сполук фтору). Існує легка, середня та тяжка форми прояву флюорозу, а також кілька різновидів: штрихова, плямиста, меловидно-крапчаста, ерозивна і деструктивна. Перші три різновиди відрізняються візуальними проявами (наприклад у вигляді плям, як на фото), а останні дві вже є тяжкими, коли відбувається втрата тканин зубів, їх кришіння.
Як ви помітили, окремо кожен з цих симптомів ще не є причиною для великих переживань і постановки серйозного діагнозу. Важливо об'єктивно оцінювати свій стан і звертати увагу на додаткові зміни в зовнішності і самопочутті. Але головне — не нехтуйте зверненням до фахівців: тільки вони можуть дати точні відповіді на ваші питання і скласти адекватний план лікування.








