
16 знімків людського тіла, які не можна зробити звичайним фотоапаратом
Тіло людини — один з найбільш досконалих механізмів. Його робота налагоджена до дрібниць, і кожну секунду в ньому протікає безліч різних процесів: клітини народжуються і вмирають, а кров проходить коло від лівого шлуночка до правого передсердя серця не більш ніж за 27 секунд. Всі процеси, що відбуваються в нашому тілі, ще не до кінця відомі навіть вченим, проте знімки, зроблені за допомогою рентгенівського і томографічного апаратів, дозволяють нам ближче познайомитися з ними.
Ми в Social.org.ua любимо дізнаватися щось нове кожен день і знаходити найбільш цікаві речі в світі. Такі, наприклад, як ці знімки людського тіла, які не можна зробити звичайним фотоапаратом.
1. Комп'ютерна томографія жінки на 37-му тижні вагітності
2. МРТ-знімок здорового головного мозку людини
3. Грудні імпланти через об'єктив апарату МРТ
4. Рентгенівський знімок людини з полидактилией
5. Розфарбована МРТ аорти
6. Рентгенівський знімок руки дитини, яка відрізняється від руки дорослого тим, що на місці деяких кісток до певного віку розташовані хрящі
7. Вени і артерії
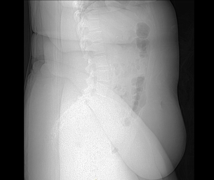
8. Рентгенівський знімок людини з ожирінням. Надмірна кількість жирової тканини заважає видимості кісток
9. Рентгенівський знімок руки дорослої людини і дитини
10. Серцебиття, зняте апаратом МРТ
11. Знімок, який засвідчує закупорку судини на лівій нозі
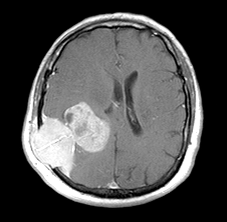
12. Пухлина мозку
13. Комп'ютерна томографія черепа і судин
14. Зображення, отримане завдяки комп'ютерній томографії, на якому видно деформація судин
15. Знімок, зроблений після операції по відновленню черепа людини, постраждалої в ДТП
16. Щелепа 10-річного хлопчика, у якого відбувається заміна молочних зубів на постійні
А що ви знаєте про роботу нашого організму?
Фото на превью Living Art Enterprises/EAST NEWS








