
18 рентгенівських знімків, які розкажуть про вашому організмі краще, ніж підручник з анатомії
Тіло людини нагадує досконалий механізм. У той час, коли ви працюєте, спите, займаєтеся спортом, ваше серце качає кров, а мозок працює без відпочинку. Ми б не змогли подивитися на ці процеси без винаходу Вільгельма Рентгена: 120 років тому вчений відкрив промені, які дозволяють буквально бачити людей наскрізь. Зате сьогодні ви дізнаєтесь, які таємниці приховує ваше тіло.
Social.org.ua розглянув сотні сканів МРТ, рентгенівських знімків і знайшов найбільш захоплюючі. Сперечаємося, ви ніколи не бачили виконання оперної партії в томографічних апараті?
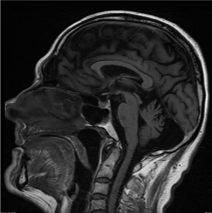
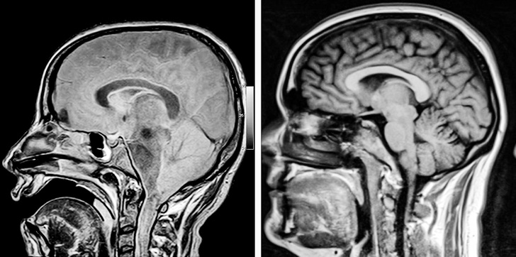
1. Мозок пацієнта в комі і мозок здорової людини
2. Панорамний знімок щелепи. Чоловік забув зняти очки
3. Дитина проковтнула підвіску у вигляді Губки Боба
4. Трактография (спеціальний метод МРТ) показує нервові волокна, що з'єднують різні зони мозку
5. Апарат штучного серця AbioCor
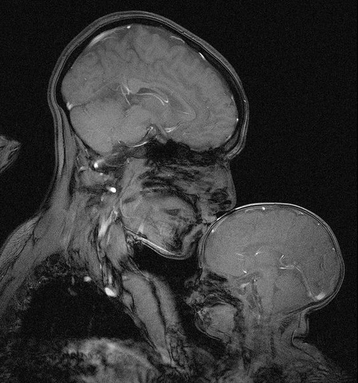
6. Жінка з немовлям в апараті МРТ
7. Жінка зробила яскравий макіяж перед процедурою КТ. Апарат відсканував нафарбовані вії
8. Рентгенівський знімок пацієнтки, яка пройшла процедуру підтяжки золотими нитками
9. КТ черевної порожнини кур'єра, який попався на перевезенні заборонених речовин
10. Так змінюється кисть людини з 8 місяців до 18 років
11. Знімок щиколотки, який зроблений з допомогою кольорового спектрального сканера
12. Рентгенівський знімок пацієнта вагою 186 кг
13. Оперний співак Міхаель Фолле виконує партію з опери Ріхарда Вагнера «Тангейзер»
14. Пацієнт з алкогольним ураженням мозку. З-за впливу спиртних напоїв головний мозок і мозочок зменшилися в розмірах
15. Дитина перевертається в утробі матері
16. Кровоносні судини пальця. Ось чому починає текти кров, варто лише трішки порізати палець
17. Аорта — найбільша артерія нашого тіла
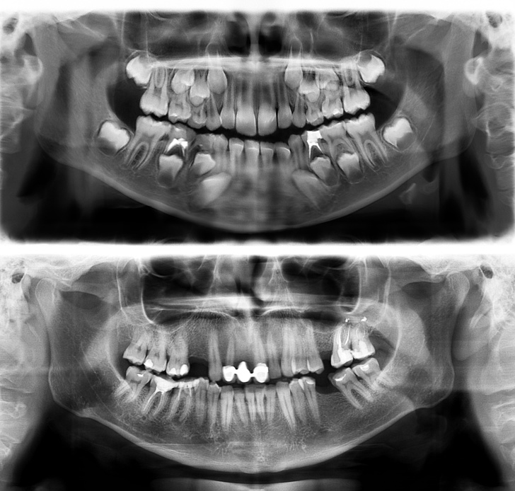
18. Так виглядають зуби людини у 7 (вгорі) і в 30 років
Бонус: іноді рентгенологи втомлюються розглядати знімки і вирішують пожартувати
Пацієнт-косплеєрів застряг в шоломі штурмовика. Насправді немає.
Так виглядає мініатюрний ядерний реактор Тоні Старка на рентгенівському знімку.








