
20 знімків, які раніше бачили тільки рентгенологи. А тепер можете і ви
 
        
    
        124 роки тому Вільгельм Рентген випадково відкрив ікс-промені, які, крім іншого, допомагали «просвітити» людське тіло наскрізь. З тих пір пішло-поїхало: вчені придумали томографи і змогли відкрити безліч таємниць нашого організму.
Social.org.ua не втомлюється дивуватися складності будови людського організму. Ми переглянули тисячі МРТ і КТ-знімків, щоб знайти по-справжньому захоплюючі і здивувати вас теж.
1. Дівчинка взяла на рентген улюблену іграшку. Тепер ви знаєте, як виглядає Свинка Пеппа в рентгенівському випромінюванні
2. Комп'ютерна томограма легенів курця
Пацієнт страждає від емфіземи — хвороби легенів, з-за якої порушується надходження кисню в організм.
3. Рентген пацієнта з пірсингом
4. Комп'ютерна томографія гімнастки, що виконує вправу
5. Так виглядає биття людського серця
6. Силіконові груди в апараті МРТ
7. Знімок кровоносних судин мозку, зроблений з допомогою потужного томографа в 7 тесла
А в Китаї вже розробили медичний томограф зі значенням магнітної індукції 14 тесла, який може побачити роботу думки. Апарат з таким магнітом чутливий до електронного поля нейронів мозку. Правда, він поки не схвалений для використання на людях.
8. Рентгенограма кисті: зліва — звичайний знімок, рука праворуч полита йодом
У рентгенології речовини на основі йоду використовуються в якості контрасту.
9. МРТ жінки, яка вагітна двійнею
10. Поцілунок під променями рентгена
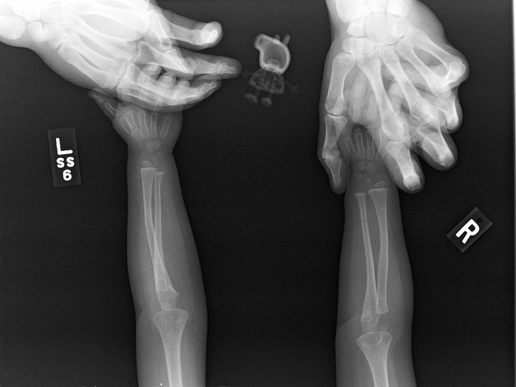
11. Так змінюється рука дитини з віком
На місці деяких кісток спочатку розташовуються хрящі, які пізніше замінить кісткова тканина.
12. Як виглядає тіло людини при різних технологіях сканування
Шкіра. М'язи. Кістки. Судини.
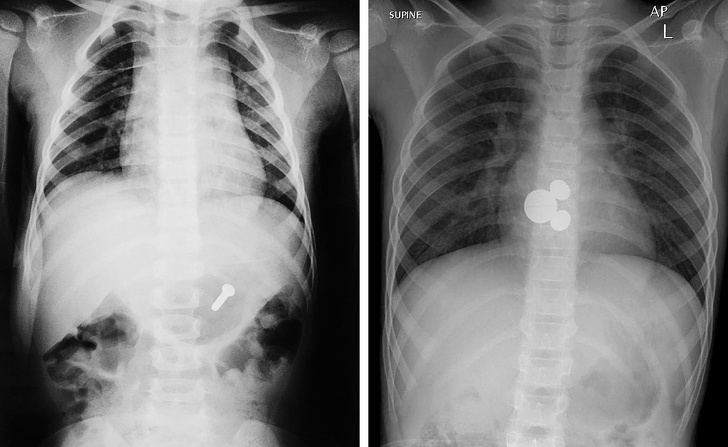
13. Ось чому не можна дозволяти дітям грати з дрібними предметами
14. ПЕТ-сканування людини з В-клітинною лімфомою. Зліва — результат до хіміотерапії, праворуч — після
15. Пацієнтка прийшла на рентген з накладними нігтями
16. Так мозок змінюється протягом життя. У людини праворуч хвороба Альцгеймера, яка призводить до атрофії мозку
© Science Photo Library / EAST NEWS © ZEPHYR / Science Photo Library / East News © ZEPHYR / Science Photo Library / East News
17. Комп'ютерна ангіографія людського серця, яке обплутане мережею судин
18. Пологи в апараті МРТ
19. Флюороскопія руху щелеп
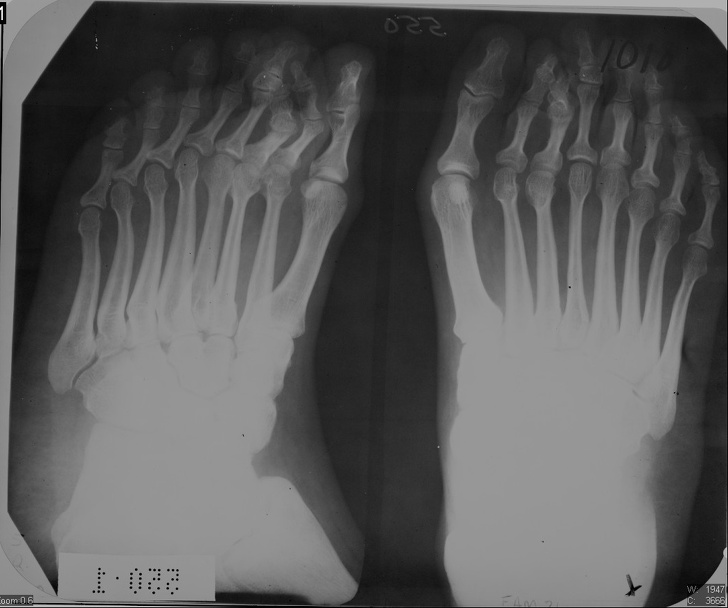
20. Рентген стоп пацієнта з полидактилией
Полідактилія — анатомічне відхилення, при якому людина народжується більш ніж з 5 пальцями на кінцівки.
Бонус: МРТ-сканування брокколі виглядає як феєрверк
Зізнаємося чесно: краса людського тіла просто зачарувала нас. А як ви ставитеся до медичних знімків: відчуваєте страх перед ними або хочете розглянути в подробицях?
 Фото на превью EAST NEWS  
    
 
                             
                             
                             
                             
                             
                             
                             
                             
                             
                             
                             
                             
                             
                            







